Cum aflu dacă am nevoie de tratament?

Ca în orice leziune traumatică la nivelul gurii, trebuie să mergeţi la dentist imediat pentru a determina dacă este nevoie de tratament. Medicul dentist va examina zona afectată şi eventual va efectua o radiografie.

Dacă simţiţi durere datorită fracturii sau fisurării unui dinte, puteţi lua un calmant eliberat fără prescripţie. Dacă este posibil, păstraţi bucata din dintele fracturat şi duceţi-o medicului dentist.

Dacă dintele a fost complet smuls din gură în urma unui accident, mergeţi cu el de urgenţă la medicul dentist. Dintele poate fi pus la loc în alveolă, printr-o procedură denumită reimplantare.

Ce tratamente există în următoarele cazuri?

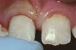
Dinte parţial fracturat: Dacă nu există durere şi fragmentul desprins este mic, puteţi decide singur dacă, cum şi când doriţi repararea lui. În funcţie de dimensiunea fragmentului desprins, dintele poate fi şlefuit sau corectat prin proceduri de cosmetică dentară. Alte opţiuni includ faţetarea, reconstituirea coronară şi obturaţia. Rugaţi medicul dentist să vă prezinte aceste soluţii. Dacă fractura s-a produs la suprafaţa unei obturaţii sau la un dinte artificial, se impune înlocuirea acestora.

Dinte fisurat sau complet fracturat: Dinţii fisuraţi sau fracturaţi complet trebuie reparaţi de urgenţă, pentru a evita distrugerea lor definitivă. În unele cazuri este necesar tratamentul canalului radicular sau se impune extracţia dentară. Dacă fisura afectează smalţul şi dentina, reconstituirea coronară este în general cel mai bun tratament. Reţineţi că fisurile nu sunt întotdeauna vizibile, nici chiar la radiografie. Simptomele pot include durerea la mestecat şi sensibilitatea crescută la alimentele şi băuturile reci, posibil şi la cele calde, precum şi la aer.

Dinte smuls (avulsionat): Pentru ca reimplantarea dintelui în alveolă să reuşească, este extrem de important ca aceasta să fie făcută de urgenţă. Cu fiecare minut care trece, mor alte celule din rădăcina dentară. Dacă este posibil, clătiţi dintele numai cu apă, apoi reintroduceţi-l în alveolă sau în cavitatea bucală şi mergeţi la dentist imediat. Dintele trebuie apucat numai de coroană şi menţinut umed tot timpul. Există şanse maxime de reuşită dacă reimplantarea se face în 30 de minute, însă există şanse de succes chiar până în două ore. Este posibil ca dentistul să efectueze un tratament de canal radicular la 1-2 săptămâni după stabilizarea dintelui în alveolă.

Dinţii permanenţi pierduţi, indiferent dacă au fost extraşi de medic sau smulşi accidental, trebuie neapărat înlocuiţi. Montarea dinţilor artificiali este necesară pentru evitarea dificultăţilor de masticaţie şi vorbire, a deplasării dinţilor rămaşi, a disfuncţiei articulaţiei temporomandibulare (ATM) cauzate de mestecarea pe o singură parte şi a slăbirii osului maxilarului. Opţiunile de înlocuire a dinţilor pierduţi includ punţile, protezele şi implanturile dentare.

Fractura de maxilar: Dacă suspectaţi o fractură, nu mişcaţi maxilarul. Maxilarul trebuie imobilizat pe loc cu o batistă, cravată sau prosop legat pe sub bărbie şi deasupra capului. Dacă se inflamează, aplicaţi comprese reci. Mergeţi imediat la camera de gardă a unui spital sau la medicul dentist.

 

ChippedDinte frontal fracturat

 

RepairedDintele fracturat după reconstrucţie

 

KnockedOutDinte permanent smuls complet

 

ReinsertedReintroduceţi cu grijă în alveolă dintele smuls şi mergeţi imediat la dentist

 

 

 

Chestionar de sănătate orală

Ce ascundeți sub zâmbet?

Completați chestionarul nostru și profitați la maximum de rutina de îngrijire orală

Chestionar de sănătate orală

Ce ascundeți sub zâmbet?

Completați chestionarul nostru și profitați la maximum de rutina de îngrijire orală